CT scans and x-ray images show what coronavirus does to patients’ lungs.
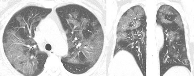
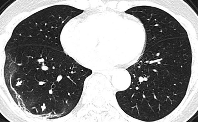
Scans show white patches in the lower areas of the lungs. Radiologists indicate those white patches ground glass opacity, a partial filling of air spaces.
The abnormalities in the images are similar to those found in people suffering from MERS and SARS.
An X-ray image of a 44-year-old coronavirus victim who worked at the Wuhan seafood market show the ground glass opacity.
Released by the Radiological Society of North America, the scans show how the fluid in the spaces became more noticeable over time. The patient was hospitalized on December 25, 2019, after experiencing cough and a fever for almost two weeks.
He was diagnosed with acute respiratory distress syndrome and pneumonia. Despite receiving treatment, he passed away one week later.
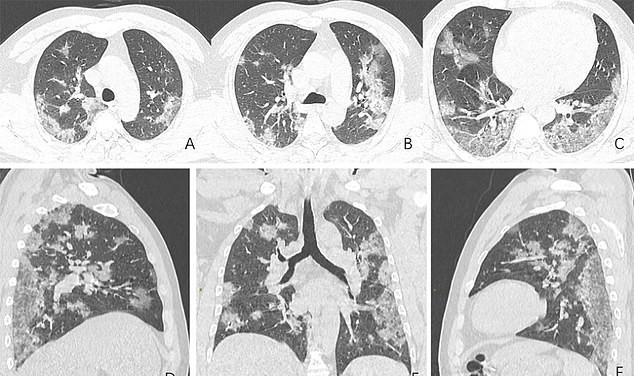
CT scans of a 54-year-old woman who got infected after visiting Wuhan also show the ground glass opacity or partial filling of air spaces.
After suffering from a cough, fever, chest congestion and fatigue for a week, she was diagnosed with severe pneumonia caused by coronavirus.
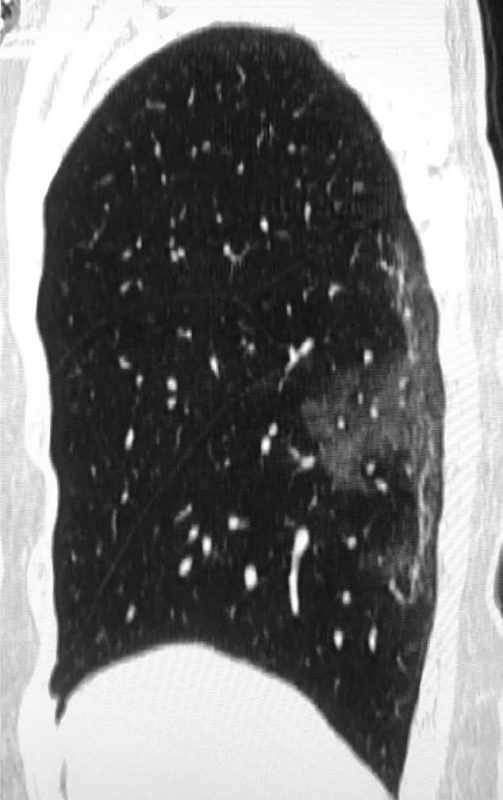
The CT scans of a 45-year-old woman who caught the infection after returning from Japan shows a ‘reversed halo sign’ in the left upper lope of her lung.
The extended white patches were also identified with Middle East respiratory syndrome (MERS) and severe acute respiratory syndrome (SARS).
After the number of people struck down by the killer virus surpassed 112,000 and the death toll reached almost 4,500, the World Health Organization declared COVID-19 outbreak a pandemic.
One internet user from UK commented: “Do people realise that this virus permenantly damages the lungs even in mild cases? Before people scream at me, my source is my father in law who is a doctor. He is very concerned about this. They are not telling you this because it will cause worldwide panic. This has got to be man made.”
Another wrote: “It turns your more than your lungs into crispy glass. Nasty. Why wonder so harmful to humans.”
A third added: “take sensible precautions. wash hands at least once per hour. keep hands away from face. disinfect commonly used areas if at work. have a clean station by your front door to remind you to clean up when you get home, use sanitizer all the time. I stick sanitizer gel up my nose too!”
What are your thoughts on this? Let us know in the comments section and SHARE this story with your friends and family!
Replaced!






