We can spend hours and hours reading books on anatomy to learn more about our body but what’s more eye-opening are a series of MRI scans and X-rays that precisely shows our body.
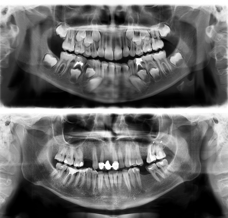
#1. The teeth of a person who is 7 (the photo on top) and a person who is 30 (the photo on the bottom)
#2. The aorta is the biggest artery in our body.
















