A woman who was so careless to take care of her teeth has got her smile back and all credit goes to braces.
Shannon Wilde’s teeth had turned yellow, rotten and were full of fillings as she never took care of them.
To not show the state of her decaying teeth, she started wearing clip-on veneers as she was too afraid to visit the dentist because of her past negative experiences.
The 26-year-old woman said: “Looking after my teeth was not a priority when I was growing up. I wasn’t taken for routine dental appointments, and the importance of brushing and looking after my teeth wasn’t really explained to me.’’
“As a result, the only dental appointments I had were for severe pain and abscesses, leaving me petrified of the dentist who I associated with negative experiences.”
Shannon suffered from tooth pain for years and finally mustered the courage to visit a dentist who told her to wear dentures. Shannon told: “The first dentist I saw suggested that there was nothing he could do other than fit me for full dentures.’’
“I was horrified, but was seriously considering taking this option until I was recommended to visit Dr. KP from Love Teeth Dental.”
Dr. KP assured her that she will get her smile back even after seeing the horrible state of her teeth. He also told her that the clip-on veneers are the reason behind more damage to her teeth.
He said: “She was not taking them out often enough and would sometimes go days at a time without removing them, because she was so embarrassed to show people her real teeth.’’
“Plaque had built up around her teeth, food had become trapped and her gums were sore and bleeding. Additionally, the veneers had chipped away at her enamel and broken her teeth even further.”
Shannon who was not aware of good oral hygiene finally learned about it and started her nine months program of Invisalign that includes wearing a series of custom-made clear plastic aligners.
She said: “Little by little my teeth began to move and become straighter. I noticed that eating food became easier as my bite improved.’’
“Because the aligners are virtually invisible, no one noticed or commented on the fact I was wearing them, which I was really pleased about, because while my teeth were improving, I was still very self-conscious.
“My teeth began to look noticeably straighter after a couple of months of wearing aligners, and slowly but surely, my confidence began to grow.”
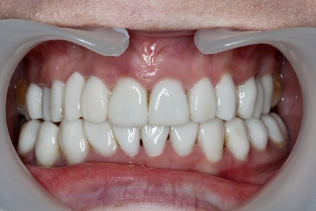
She finally gained her confidence back after putting permanent crowns on her teeth. The doctor told her that her temporary crowns will be replaced with permanent fittings.
Shannon said: “While my temporary crowns looked and felt amazing, Dr KP had always explained that they would be replaced with permanent fittings once my teeth were straightened.’’
“I am no longer in dental pain and am determined to never be again if I can help it. The change in my whole demeanor has become apparent to everyone – both work colleagues and friends.’’
“I have become much more confident speaking to people; I no longer worry about hiding my teeth when I talk or smile. I no longer fear people noticing my clip-on teeth. I literally cannot stop smiling I love my new teeth so much.”
She revealed, now she takes good care of her teeth and her oral hygiene has improved. “Since I started my treatment, my oral hygiene, has changed completely, I brush my teeth at least twice daily and floss every day,’’ she added.
Recommended Video
“Man Opens Car Door While In Automatic Car Wash To Fix Wipers, But Brush Returns And Slams Door In Opposite Direction”
[rumble video_id=vcb57 domain_id=u7nb2]





