Vaping was believed to be safe till a point of time but it is not treated as safe anymore.
In fact, it has turned out to be so harmful that people are dying because of its use.
The health officials in the USA are too concerned with the use of vape as consequently 6 people have died because of the same.
A report on September 10 came out stating the death of a Kansas resident who died off an unidentified mysterious disease that develops in the lungs because of vaping. This is not the first death case coming out with the same reason but is 6th.
Dr. Lee Norman Norman, State Health Officer of Kansas said that it is the time to stop. In his speech he asked everyone to stop their loved ones from getting into the filthy habit of vaping that is killing people.
US health officials say they have an estimate of 450 cases present right now that have vaping as the source of their sickness. Out of which more than 200 cases have been confirmed from 33 states of USA.
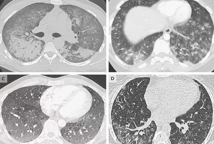
Vaping products like cannabis have chemical called vitamin E acetate which was the main source of the mystery disease that has killed 6 people by far and has made almost 500 people sick.
Patients suffering from the disease suffer from shortness of breath, nausea, vomiting, fever, and cough.
In Kansas alone, there are about 50 reported cases of the concerned illness. The man who lost his life to the illness had a history of vaping and was above 50 years old.
He was also suffering from a few other health issues that must have made his body fragile. This is the only information the health department has released about the man so far.
Governor of the state, Laura Kelly has requested the citizens to be more careful and to not put their lives at risk.
Recommended Video
“Vitiligo Sufferer Who Confused Condition For ‘bad Tan Lines’ Gets Tattoo Explaining Disease To Stop People Staring”
[rumble video_id=v5cdkl domain_id=u7nb2]
Share this post with your friends and family:)





