Over the past few years, vaper consumption has been increased on a large scale that has been impacting human lives and even leading to death.
There have been many cases reported regarding vaper related diseases and deaths.
Recently, a chronic vaper from the US has been diagnosed with incurable lung disease. It is typically found in workers at the metal factory who have to experience toxic fumes daily.
Doctors have said that the disease is caused by the poisonous fumes that come from coal heating. It is reported that the vaping device the 49-years-old used had such toxic fumes.
Hard metal pneumoconiosis has been linked to vaping for the first as there are several similarities in both the condition. Medicos from the University of California have anticipated that it might a new health risk for the people.
The 49-years-old woman who has been diagnosed with lung cancer has been suffering from breathing problems for months. Earlier, she was diagnosed with asthma and doctors prescribed her inhaler and medicines.
After a few weeks, she returned to the hospital with no change in her situation. Later, she was diagnosed with hard-metal pneumoconiosis, which generally occurs to metal factory workers.
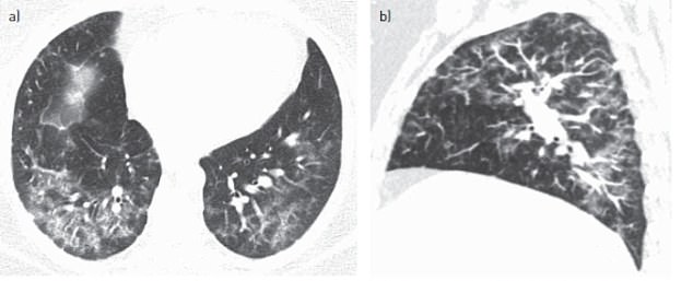
The CT scan revealed that the incurable lung disease had damaged her lung tissue to capture other cells and create giant cells in the lungs. This rare lung disease creates breathing difficulties due to the build-up of cells that block the lung functions.
Symptoms of this disease generally range from breathing difficulty to pain in the chest. This situation can result in permanent scarring in the lungs that cannot be cured.
While some patients can showcase mild improvement, others just have to suffer from the symptoms for a long time.
Researchers have tested e-cigarette and found cobalt and other toxic metals in the vape that can be the prominent reason for the development of such rare disease.
Share this post with your friends and family.
Recommended Video:
“Vitiligo Sufferer Who Confused Condition For ‘bad Tan Lines’ Gets Tattoo Explaining Disease To Stop People Staring”
[rumble video_id=v5cdkl domain_id=u7nb2]
If you liked this post, we would love to hear from you :)





