You must be thinking, oh so what if it is a little undercooked, it is not going to turn into poison right? Yes, you are right it will not turn into poison but it will have a very high chance to kill you.
If you do not believe us on it, here is a young man who lost his life after eating undercooked pork.
The young man’s identity has not been revealed but he belonged to India. The undercooked pork caused parasitic larvae inside his brain that killed the man. The 18 years old guy suffered from a seizure and then lost his consciousness. He was then instantly rushed to the hospital.
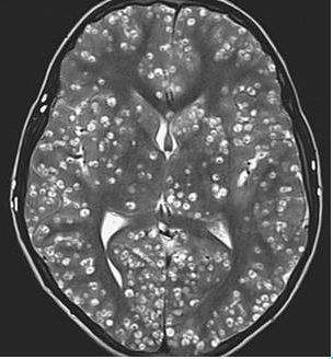
An MRI that was conducted on his brain to check the reason of his death showed cysts throughout his brain. It was spread like a wildfire in his brain. The cysts had converted into a life-threatening condition called neurocysticercosis which killed the young man.
Despite all their attempts, the doctors were not able to save him. His body had already been severely affected by his condition and medication was not able to cure it.
Faridabad’s ESIC Medical College’s doctor Nishanth Dev submitted the case to The New England Journal of Medicine. He was the one who treated the patient who lost his life to neurocysticercosis.
The 18 years old had electrical discharge in his body that made him suffer from seizures after the waves affected his brain and got him unconscious. He was then rushed to ESIC Medical College after he had seizures.
These seizures usually last for about 2 to 3 minutes but they need immediate medical help when it lasts more than 5 minutes.
The man’s family reported that he had been complaining of pain in his groin for about a week that they had no idea it would turn out to be so serious.
So now I hope you know what was it that I was trying to warn you at the start of this article. Eat with care and keep yourself protected.
Share this post with your friends and family.
Recommended Video – “Three Healthy Beverages Will Remove Extra Fat In Your Body This Summer”
If you liked this post, we would love to hear from you:)



