A teenager from India died from the effects of a tapeworm laying eggs in his brain.
The unnamed 18-year-old was taken to hospital after suffering violent seizures, doctors said.
The parents of the teen claimed that their son was feeling groin pains for about a week. In addition to testes tenderness, he was suffering from confusion.
Doctors at the ESIC Medical College and Hospital in Faridabad, India, sent the teenager for scans.
Medics diagnosed him with a condition called neurocysticercosis – a tapeworm infection typically the result of eating infected pork.
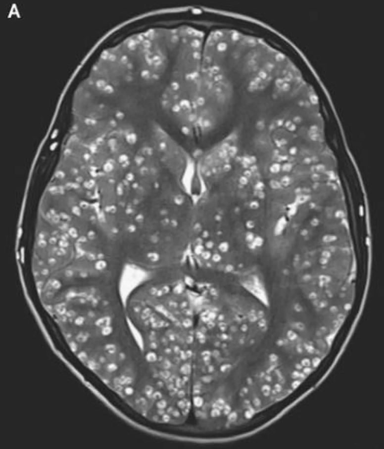
That’s when an MRI revealed cerebral cortex and brain-stem damage caused by cysts. He was diagnosed with neurocysticercosis, which is caused by ingesting tapeworm eggs that have passed in the feces of someone with an intestinal tapeworm.
The larvae wiggle out of their eggs and find a home in muscle and brain tissues, where they form cysts. They were also discovered in the patient’s right testicle and eye.
Due to the numerous amount of cysts, doctors declined using anti-parasitic medications that can worsen brain bleeding and potentially lead to vision loss.
Two weeks later the teen was dead.
In this case, doctors said the number of tapeworm cysts invading the teenager’s body meant anti-parasitic medications typically used, weren’t an option.
Cysticercosis infections occur mainly in rural areas where sanitation practices are not stringent or where pigs roam freely.
Symptoms depend on the location of the cysts. Lumps can form under the skin and, occasionally, confusion is the lone sign of trouble. Complicating one’s health, symptoms can appear months or years after infection, usually when the cysts start to die, which creates swollen tissue.
In other cases like this, the drugs can make inflammation in the brain worse, making the condition more deadly.
Instead, medics gave the man steroids and anti-epileptic drugs. But, they couldn’t save the teenager, who died two weeks later.
Recommended Video – “Teen Tries To Poison 11 Week Old Baby ‘I Don’t Feel Bad About It’”



