An 18-year-old man passed away after eating under-cooked pork that caused parasitic larvae to invade his brain.
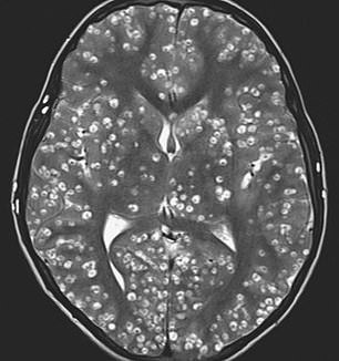
An MRI brain scan showed he had cysts throughout his brain, with the damage being consistent with neurocysticercosis.
Neurocysticercosis happens when parasitic larvae usually found in under-cooked pork build-up in the body until they occupy the central nervous system.
The 18-year-old was rushed to ESIC Medical College after suffering from tonic-clonic seizures. These occur when an electrical discharge affects the brain and cause a person to suddenly lose consciousness.
Tonic-clonic seizures last 1 to 3 minutes, and if they continue in quick succession or over five minutes, the person may need life-saving treatment.
After reaching the hospital, doctors noted the teen seemed confused. Most patients feel disoriented and tired for up to several days or weeks.
His parents said he had been complaining of pain in his groin for the past few days. A physical examination showed he had tenderness in his right testicle and swelling in his right eye.
An MRI scan revealed the teen had numerous cysts in the outermost layer of his brain (cerebral cortex), which is responsible for thinking and processing information.
There were lesions in his brain stem, which is located at the base, and sends signals between the brain and the rest of the body.
Cysts were spotted in his cerebellum, located at the back of the brain responsible for coordinating voluntary movements like speech, coordination and posture.
Doctors said the extend of the damage was consisted with that of neurocysticercosis, which occurs when the parasitic larvae Taenia solium invades the body from the intestine, and builds up in the nervous system, eyes, skin and muscles.
Further tests confirmed he was infected with Taenia solium.
Antiparasitic drugs will only worsen the inflammation in those who have cysts in their brain, so doctors treated him with anti-inflammatory steroid dexamethasone, which is commonly used for treating conditions like psoriasis, arthritis and allergies.
The teen also received anti-epilepsy drugs. However, it was already too late.
To prevent infection, it is advisable to cook meat to safe temperature. Consider using a food thermometer to measure the internal temperature of cooked meat.
Drying, smoking, salting or microwaving meat alone doesn’t kill infective worms.
USDA recommends whole cuts of meat to be cooked at least 63C/145F. Cook ground meat to at least 71C/160F. When it comes to all poultry, cook to at least 74C/165F.
What are your thoughts on this? Let us know in the comments section and SHARE this with your family and friends!
Recommended Video!
“How To Bake A Delicious Triple-chocolate Cheesecake With No Oven”






