Vaping has become a popular method of smoking.
Considering it as a less harmful way of inhaling and exhaling vapour, vaping devices often causes several health ailments.
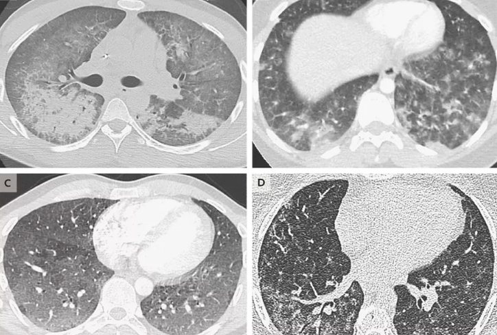
There have been several cases where vaping has led to severe respiratory diseases. A person in Kansas has become the sixth to die due to vaping related respiratory illness.
Dr Lee, Kansas State Health Officer, quoted that vaping is not as safe as it claims to be. It’s time to give up this upgraded version of smoking in order to prioritize health.
The woman who died after vaping was over 50 years with past history health problems, the doctors have cleared that vaping was the rapid cause of deterioration.
The doctor treating the woman confirmed that though she had some previous medical illness, nothing was serious until she started using e-cigarettes for the first time. She died due to full-blown acute respiratory distress syndrome.
According to statistics, those who have fallen ill from vaping issues were in their late 20s or 30s. The recent case of 50-year-old woman died from vaping is the indication that the older lot might be at risk.
Laura Kelly, the Governor, extended her condolences to the family saying our sympathies go with the family. She also added by appealing to people for being extra careful in these matters.
Indiana, California and Minnesota have also reported similar cases of vaping related illness, but nothing has taken a severe turn so far. Illinois and Oregon are the areas registered with maximum deaths.
Symptoms of illness related to aping majorly include shortness of breath, fever, coughing and vomiting. Additionally, headaches, dizziness and chest pain are some of the extreme symptoms.
In the wake of such a staggering number of cases, health management has been organizing an awareness campaign to let people know more about the severity of vaping.
Share this post with your friends and family.
Recommended Video
“High School Choir Sees Fallen Soldier’s Remains Being Escorted Off Plane, Breaks Into Hymn”
[rumble video_id=vg6pa domain_id=u7nb2]
If you liked this post, we would love to hear from you :)





