The images show the terrifying reality of taking cocaine in excessive amounts.
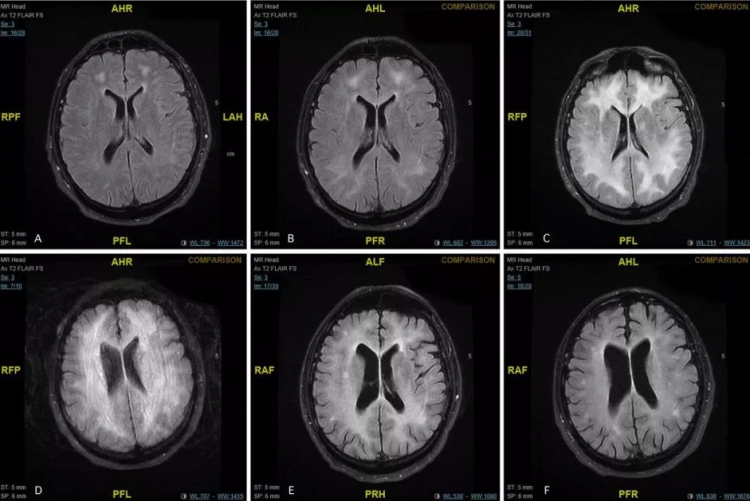
These brain scans show how cocaine can ‘eat away’ at the brain, leaving the person with disabilities, and in worst cases, dead.
Doctors have warned that it is a rare but severe side-effect of using the class A drug.
They treated a 45-year-old man who was rushed by his parents to hospital in Malta. The patient was confused before doctors realized he was suffering from cocaine-induced toxic leukoencephalopathy.
Doctor Ylenia Abdilla, who treated the 45-year-old man, said: “It’s a rare disorder which can cause significant disability..”
Speaking about the case report, the doctor added: “This case study is intended to increase awareness of this condition.
“The prognosis is generally poor and can be rapidly fatal, however some rare cases recover fully, as is seen in this case report.”
Dr. Abdilla and her colleagues treated the man three days after he had last taken the drug. They said his pupils were dilated and ‘briskly reactive to light’ and that he was ‘not cooperative, unable to perform simple tasks an was not following commands.’
MRI scans revealed damage to the white matter in the brain. “It may present in several different ways,” said Dr. Abdilla.
“These include an altered level of consciousness, confusion, impaired language, altered vision, fever or spasticity.
“Prognosis is poor – the condition progresses rapidly and often leads to death. Rarely it has been reported to result in complete recovery, as in our case.”
Doctors treated him and he was transferred to a rehab facility. After four months, he was already walking on his own and showed signs of improvements.
In the UK, cocaine use has doubled over the past five years. One million Brits admitted to taking the drug in 2018. One of the biggest concerns is that more young people are trying cocaine, with 20% of 16 to 24-year-olds having tried the drug in the last twelve months.
What’s your take on this? Let us know in the comments section and SHARE this with your friends and family!





