We spent so much money on our beauty products, we go salon or beauty parlor every month.
But, do we care for our teeth that much? I think there are only a few people who take care of their teeth and pay on dental care.
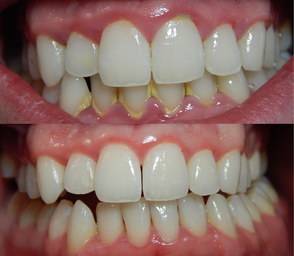
If you take dental appointments and check-ups regularly, you are likely to have experienced the professional dental clean.
This is like the car wash service of dentistry. It helps to smooth over those rough edges, spruce up the oral interior, and leave your mouth sparkling and feeling healthy. One of the quickest and easiest ways to do this is to remove plaque and tartar.
If you have no time to go to the dentist, or you have no money to spend on dental care, so you can use these home remedies to get rid of this problem.
1. Apple cider vinegar: There are a lot of benefits of this vinegar, soak your toothbrush in vinegar for a few minutes. Then, brush your teeth using the toothbrush. Remove all traces of vinegar when you complete the brushing. This helps to prevent damage to your enamel.
2. Second remedy needs walnut husks, take 30 grams of it. Put the husks in a bowl and add water, cook the mixture for 15 minutes. Use the watery substance to soak your toothbrush in it. Brush your teeth for 5 minutes. Repeat this method 3 times a day.
3. You need 4 tablespoons of sunflower seeds and linden flower of the same amount. 1 liter of water, put all the ingredients in a bowl, cook them for about half an hour on low flame.
Now, soak your toothbrush in the mixture and brush your teeth after every meal. You can also use this mixture as a mouthwash. Make sure, you clean your mouth with water properly after the procedure.
4. People have been using baking soda as a cleaning substance for teeth, for many years. It is slightly abrasive so it pries and files nasty stuff from the surface of the enamel. Take (only) one tablespoon of baking soda. Add a pinch of salt. Dip your toothbrush into the mixture. Clean your teeth as you usually would and rinse thoroughly.
5. If you are worried about plaque, pick up a tartar control toothpaste variety. They contain a concoction of ingredients designed to battle against crusty build ups in the mouth and kills the number of bacteria strains.
Use any of these methods to clean your teeth!
Recommended Video
“Going From Extremely Long To Extremely Short Hairstyle For An Amazing Makeover”
[rumble video_id=v25p5l domain_id=u7nb2]




