A model who reportedly spent a staggering $130,000 to extend her legs is now having her say on the topic.
She claims that her former partner loved big ladies and so to help please him, she underwent leg lengthening surgery. This meant allowing an extension of 5.5 inches and undergoing two long and painful surgeries to get her desirable results.
“My ex convinced me that I was making the right decision. He just loved women that were tall and had long legs. He says that it turned him on and I was ready to bear the consequences of the action for his sake”- the woman who goes by the name of Theresia Fischer explained.
Born and raised in Germany, she knew how much cosmetic surgeries were common and how people paid a lot of money to look a certain way. But what she failed to realize is that she was getting into something very serious that would just cost her in the long run.
After both surgeries, she is just a little below six feet tall. Today, she works as a leading influencer who is raising awareness of the ordeal and how much she regrets being a fool and not thinking using her own mind.
Speaking during a recent interview, she explained how her man was so toxic and really motivated her to do something against her will. Blind in love, she agreed and he used to always tell her that she is nothing without him and she will always need him so this was the only small favor he asked for from her.
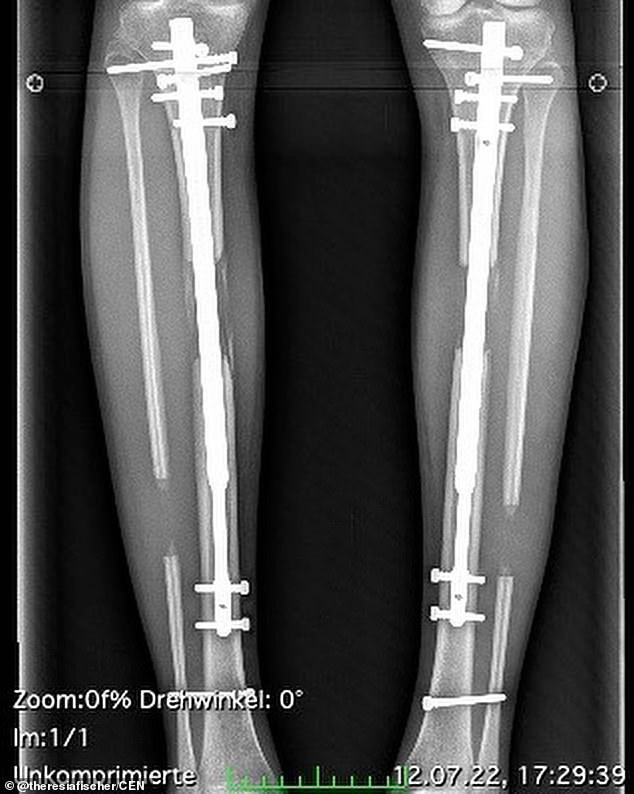
Today, her legs have telescopic rods in the shinbone area. It was long, extensive, painful, and just not worth it, she adds. Did we mention the amount of physiotherapy and recovery time required to get back on her feet again?





