People have inclined towards vaping as it claims of having a lesser impact on our health.
Over the past few years, vaping related health issues have been taking a toll on people’s lifestyle.
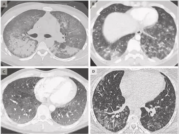
Owing to the staggering rate of vape related deaths, doctors have released scanned lungs pictures that have left people in terror.
According to the report prepared by The Centers for Disease Control And Prevention, in a year, around 450 cased have been reported across 33 states in the US.
Among all the other states, Minnesota, California, Oregon, Illinois, and Indiana are the most affected areas registred with vape related deaths.
CDC doctor, Dana Meaney-Delman has advised people to stop using e-cigarettes until the investigation is proceeding. She further added that this is the only way through which the death toll can be controlled.
Chance Ammirata, 18, a regular vape smoker shared images of his lungs on Twitter and stated that the collapse of his lungs and black dots visible in it are results of excessive vaping.
Though the reason behind these issues is not yet confirmed, every week a new case pops up that tends to worsen the problem.
Junaid Khan, heart and lung surgeon at an Oakland hospital recently did a lung surgery on a man suffering from the blistered lung.
He released a scanned image of his lung and showcased that the there is a vent through which the air leaks between chest wall and lung that eventually let the blisters inside the lung.
Junaid further added that this could soon become a public health crisis if not appropriately addressed at the right time. He also stated the symptoms related to vaping illness. These mainly include fever, nausea, weight loss, shortness of breath, gastrointestinal issues, etc.
The New England Journal of Medicine has mentioned that the oil present in vaporized substance might be the element that carries nicotine to lungs.
Recommended Video
“Guy Refuses To Put Cigarette Out At Gas Station, So He Did It For Him”
[rumble video_id=v15qct domain_id=u7nb2]
Share this post with your friends and family :)





