A man from Texas has undergone a $75,000 surgery to increase his height as he’s always wanted to be tall like his basketball heroes.
28-year-old Alfonso Flores said that his friends and family warned him against the ‘unnecessary’ operation but they eventually accepted the idea and became very supportive.
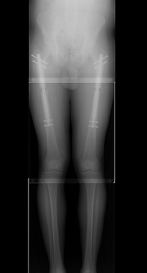
After the cosmetic limb-strengthening surgery, Alfonso’s height increased from 5ft 11 to 6ft 1.
In an interview with FEMAIL, Alfonso said: “I know 5’11 is a great height, and many people would love to be that tall, but I wanted just a little more than that.
“This is something that I’ve really wanted to do as far as I can remember – since I was 12.
“I decided to go for 6’1 because I started off at a great height and wanted to retain as much of my athletic ability and range of motion as possible.”
He continued: “I seem to have retained all of it because I am able to squat the same as before.”
Alfonso said that his relatives and friends had warned him against the operation.
Alfonso said: “They thought I was crazy and that I shouldn’t do it because it was unnecessary. However, after I explained to them how the procedure worked and how safe it was, they were much more supportive.”
He added: “I really wanted to be more like my heroes. All of my heroes were super tall. Particularly people like Michael Jordan, Phil Jackson, Kobe Bryant, and of course my father.
“These people were remarkable team leaders, hard workers, and they embodied everything that I wanted for my future self.”
According to Dr. Kevin Debiparshad of The LimbplastX Institute in Las Vegas, the femur-lengthening procedure is only minimally invasive.
Surgeons make four to six incisions in the patient’s thigh before separating the femur with a few incisions. Then, an implant was placed into the hollow of the bone.
The implant can be controlled by the patient with a remote, extending it by a small amount every day until the target length is achieved.
“The past seven months have been a dream,” Alfonso expressed.
“This is has been something that I have wanted for a long time and it feels great to say that I have finally achieved it.”
What are your thoughts on this? Let us know in the comments section and SHARE this story with your friends and family!
Replaced!





