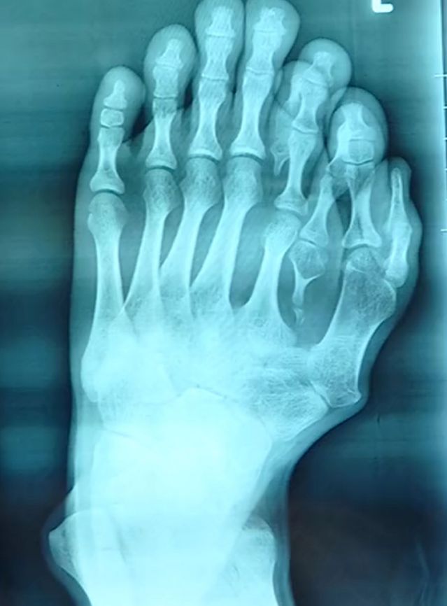
A man named Ajun from Lufeng City in South China’s Guangdong Province was born with nine toes on his left foot and he underwent a rare surgery to remove the extra ones.
The parents of Ajun are superstitious and they believed that his extra toes are the reason for his good luck.
However, Ajun doesn’t agree with his parents and he never asked any girl to go on a date with him as he had a dread of rejection because of his extra toes.
The 21-year-old stopped wearing sandals from the age of 10 as he was ashamed of his extra toes. His family visited a fortune-teller for advice, thinking that his extra toes were ‘a gift from the heavens’ and they should not be removed.
Ajun said: “They were superstitious, so they didn’t deal with it. They thought if it really looked too bad, I could just cover it with my shoes.”
He visited a medical professional for advice and his doctor, Wu Xiang, said: “It’s very rare to see such a serious deformity having not been treated in a 21-year-old patient.”
“Other hospitals would’ve just removed his outermost extra toes. That would’ve been the easiest solution, but it wouldn’t look the best.”
“His most natural looking toe is on the outside, so we decided to migrate it inwards to its most ideal position, replacing his fifth digit and creating a new big toe.”
It took Doctors nine hours in surgery creating Ajun’s new left foot, and the good thing is Ajun is satisfied with the result.
He said: “I stopped wearing sandals outside since my third year of primary school. I’ve never had a girlfriend because I’m so imperfect. I never thought I’d find anyone who wants to be with me.
“Now I feel great. I’m very grateful to Doctor Wu Xiang. I think my foot is perfect. He showed me pictures of my foot after surgery, and I’m very happy.”
Ajun is on his way to recover at the hospital and he will be discharged soon.
Doctor Wu said: “For children born with deformities, it’s best for them to be examined three months after birth.”
“Surgery can happen as early as one year old, but no later than six years old. Basically any time before they start school is fine.”
“This is better for the child’s psychological well-being, but earlier operations also lead to better recovery results.”
[rumble video_id=v5b307 domain_id=u7nb2]





