A 25-year-old man who was attacked by gang members more than a year ago was shocked to discover that he still had a knife buried in his torso.
Kent Ryan Tomao from the Philippines was attacked by a group of teens in Cotabato around 15 months ago.
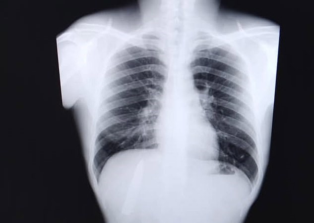
He was rushed to a public hospital but the doctor who treated him only stitched his wound. It was not until he underwent an X-ray for a new job that he discovered the knife inside his torso.
“I always wonder why I feel some pain in my chest when the weather is cold but I had no idea there was a knife still in there,” Mr. Tomao expressed.
He said that the wound bothered him when the weather is cold but he did not think anything was wrong until he applied for a job at a mine in Agusan del Sur.
The 25-year-old was shocked to learn that the blade of the knife was still in his body and very close to his lungs.
In an interview with ABS-CBS News, he said: “The doctor just closed it and said the wound was not that bad.”
The 25-year-old said he will return to the same hospital to have the blade removed. He also said that he’s not planning to take any legal action against the doctor or the hospital for failing to detect the sharp object.
One person commented: “If this true and not a set up I would sue the hospital because he could have died at any time no funny.”
Another wrote: “Years ago I stupidly tried to unblock a pipe with a knife , had a small cut on hand between thumb and finger . It was really painful A + E nurse told me to stop being silly, on x ray the blade of the knife had broken and was in my hand. 3 days in hospital and a lot of physio. No way as bad as this poor man though.”
A third said: “His guardian angel was working overtime.”
What are your thoughts on this? Let us know in the comments section and SHARE this story with your friends and family!
Replaced!




