A teenage girl was about to go blind instantly after her classmate threw a pencil at her.
The 13-year-old, from Manchester, didn’t realize there was lead sticking out of her eye until her friend pointed out.
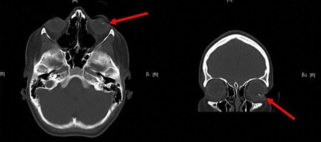
She was taken to the hospital immediately where she had emergency surgery to pluck two parts of the lead pencil from her right eye.
One part was just millimeters from her retina, it is a crucial piece of tissue at the back of the eye that converts light into imagery if the damage can make you blind.
Writing in the journal BMJ Case Reports, doctors aware teachers, parents, and children to be more careful about the dangers of throwing pens and pencils.
According to Manchester Royal Eye Hospital, where the girl was treated, around 20 percent of injuries to the eye from sharp objects can make you blind or even you need an eye removal.
Lead case author Amreen Qureshi wrote: ‘One in six of ocular perforation injury in children occurs when an object is thrown.
‘If acquired vision loss from trauma in childhood is severe, it may cause life-changing differences to a child’s education and future employment prospects.’
Recalling the day of the incident, the teenager said: ‘At first I had not realized what had happened until my friend said I think you have something in your eye.
‘A pencil had been thrown from the front of the classroom to the back where I had been standing chatting to my friends.
‘A part of the pencil had gone into my eye which must have happened so quickly as I had not felt anything.
‘I was told the pencil tip was just millimeters away from causing me instant blindness so I know how lucky I was.’
The girl said: ‘After a few doctors had looked and discussed what to do I needed to go for an emergency operation.
‘This was the first time I had been through an operation so I did not know what to expect.
‘The operation went well and the doctors had safely removed the pencil tip. It must have been a couple of hours.’
She said: ‘After the operation, I could not see much out of my left eye at all but gradually my sight seemed to improve.
‘When I first got home I did not like any lights on in my room as it was too bright for me.
‘I had followed up appointments at the hospital… It was very uncomfortable early on as I had to look into a machine with very bright lights so the doctors could look right into the back of my eye.
‘I still have a few stitches in the back of my eye and also at the front but they do not affect me in any way.’
She added: ‘I will be starting driving lessons in the next couple of weeks which I am looking forward to.’
Recommended Video
“Couple Live With 200 Plastic ‘Children’ | TRULY”
[rumble video_id=v5c09p domain_id=u7nb2]




