In modern technology, doctors have an option available of the contraceptive that they can insert in the hand of women for their need.
A woman had to rush to the hospital for surgery as the contraceptive device that was implanted in her hand made its way to her lungs in what the doctors describe as a very rare incident.
Something very rare and unpredictable happened to this woman from Portugal. She had gone to the hospital to complain about abnormal bleeding in her vagina and ended up finding out the most bizarre thing.
She had the implant in her body for good 8 years but since last 3 months, she had been bleeding from her vagina abnormally. On the test, the doctors were unable to spot her contraceptive device in her arm which is quite easy to spot.
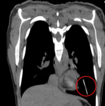
It is a hard long stick in the upper side of the arm but it was not there in her’s. After a scan of her body, the rod was found out to be in her lungs.
The gynecology department of the hospital had conducted tests on her after her doctor could not find the device where it should have been. To find the device they conducted tests and found it out at the bottom of the left lung in the woman’s body.
The doctors said that over a period of time the device must have moved from its place and occasionally, through the arteries and the veins would have ended up reaching the lung.
The doctors said that it is important to place the device right. The implant was rooted so deeply in her body that it went away with blood and reached the lung.
The surgery was taken out and the implant was then removed. She then quickly recovered from the surgery and was sent home in just 4 days.
Share this post with your friends and family.
If you liked this post, we would love to hear from you:)





