Wen is a 60 years old Chinese man who was trying to scratch his back using a 7-inch long bottle that is ideally used as a stand for a traditional mosquito replete.
The tragic accident must have given a lot of pain to this old man and this is why they always keep telling us to be more careful.
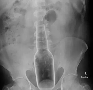
The incident that sounds completely bizarre happened in China as a 7 inch long and two-inch-wide bottle was removed from the rectum of a 60 years old man.
Wen was found to face trouble while walking so he was taken to a doctor.
The doctor then found a hard substance in his rectum and instantly asked him to get an X-ray done.
He went for it and they found out a traditional mosquito replete liquid’s bottle inside of him. The bottle was 7 inches long and 2 inches wide.
He said that he was trying to scratch his back when the bottle slipped inside of him and he could not take it out.
The doctors took him in for surgery and after that, he was released to go home all fit and fine after resting for a bit.
He faced no major injuries in the procedure.
The same incident happened in India to a 26 years old male who fell down in the bathroom on a 6-inch long shower head.
He was then taken to a hospital in Delhi where the shower head was taken out with an operation and again, he suffered from no injuries.
In a similar incident, a 22 years old girl ate a 30 cm long vomiting tube because she was so desperate to lose weight she did not notice it was not the right thing to eat.
Share this post with your friends and family.
Recommended video:
“Dachshund Discovers Water Bottle, Can’t Get Enough Of It”
[rumble video_id=v4sdv6 domain_id=u7nb2]
Don’t forget to ▼LIKE US▼ for more inspirational stories:)







